Introduction

The largest of the poodles, the Standard Poodle was originally a hunting dog, especially as a water dog and retriever. The traits that made them excellent hunting dogs are still present today: a good working intelligence, webbed feet (making them good swimmers), athleticism, and a water-resistant protective hair coat. They were also trained as working war dogs during WWII.

Standard Poodles have become a very popular dog breed since then and make excellent family pets, but do have some health and behavior issues to be aware of. When purchasing a Standard Poodle chose one that has been genetically screened by the OFA (Orthopedic Foundation for Animals) to help minimize the numerous genetic conditions of this breed.

Standard Poodles are hardy and long-lived dogs. Keeping their weight down, and having their teeth cleaned every 6 months with our non-anesthetic dental, along with constant monitoring for problems, is the best way for them to achieve their full lifespan.

All of these possible problems emphasize the need for yearly exams and routine diagnostic tests to catch problems early. One of the best ways to catch these potential problems early, when more can be done to remedy them, is a yearly Wellness Exam.

Many of the diseases of this breed are found in the Diseases section of our web site.

Common Poodle Health Issues

Addison’s (Hypoadrenocorticism) Disease

Addison’s disease (a disorder of the adrenal glands) is especially prevalent in Standard Poodles compared to other dog breeds. Symptoms are variable, and can be subtle. They range from a pet that seems a little sluggish to complete collapse, and anything in between. Any symptom of disease in your poodle warrants an exam and a blood panel to check for this.

Skin Conditions

This breed is prone to many skin problems, particularly allergies and hot spots. The usual symptoms are excessive scratching, flaky or bumpy skin, an odor to the haircoat, and hairloss. Run your hands over its haircoat daily because they can even get a malignant skin cancer called a mast cell tumor. These can appear as minor bumps or areas of inflammation, yet they can be highly malignant.

They also get skin conditions, especially allergies. Some of the skin conditions are caused by hormone problems, particularly a low thyroid disease called hypothyroidism. Seasonal Flank Alopecia can also be seen, along with Cushing’s Disease.

Cancer

Poodles are predisposed to a number of benign and malignant (cancerous) tumors that can affect many different body organs, subsequently showing different symptoms.

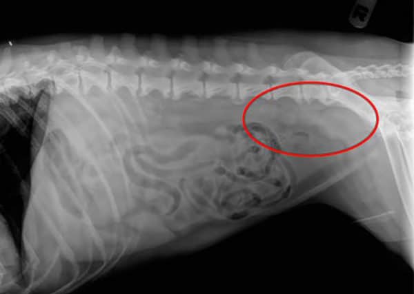
Enlarged sublumbar lymph nodes

The large red circle is over the whitish and circular areas. These are the sub lumbar lymph nodeson a dog with malignant cancer of its large intestine. 

Inflamed area due to a mast cell tumor.

This slightly inflamed area on the skin is a malignant cancer called a Mast Cell Tumor (MCT)

Separation Anxiety

They can suffer from separation anxiety and other behavior issues. Good socialization and obedience training are extremely helpful for Standard Poodles, beginning in puppyhood. A commitment to caring for their coats regularly is also important, as the poodle coat grows continuously and will become tangled and matted without regular brushing and grooming.

Bloat (gastic dilatation volvulus)

Deep-chested breeds like Standard Poodles are predisposed to a condition called gastric dilatation, or bloat. If signs of labored breathing, excessive salivation, or distended abdomen occur, your pet might be experiencing this potentially life-threatening condition, and requires immediate veterinary attention.

X-ray showing stomach distention in a GDV bloat

This is the radiograph of the stomach of a dog with bloat. It is twisted on itself, so it also has volvulus. 

If you dog is lethargic, is drooling thick saliva, or appears bloated, it could have GDV (gastric dilatation and volvulus). This is an emergency, and should be checked immediately if you poodle shows any of these symptoms.

Cushing’s (Hyperadrenocorticism) Disease

Two other hormone disease that can occur include Cushing’s disease and Diabetes Mellitus (sugar diabetes). Symptoms here vary, but commonly represent as excessive thirst and urination.

In Cushing’s Disease the adrenal glands produce an excess of cortisone (cortisol). This causes a vast array of problems that you can learn about on our Cushing’s (Hyperadrenocorticism) Page.

LDDS test for Cushing's disease

One of the tests to confirm Cushing’s is called the LDDS (Low Dose Dexamethasone Suppression Test)

von Willebrand’s Disease

von Willibrand’s Disease (a type of hemophilia) can cause anemia. There might not be any symptoms, or your pet might be lethargic, have decreased exercise tolerance, and have a poor appetite. Our learning center shows you how to check the gums for anemia. This disease is diagnosed with a blood panel.

Heart Disease

Heart disease can also occur as your Poodle ages. Look for symptoms of lethargy, exercise intolerance, coughing, and poor appetite as a clue.

We will check for heart murmurs with our stethoscope during your yearly examine to diagnose this problem and treat it before the onset of congestive heart failure.

Labeled X-ray of a normal heart

This radiograph gives you a feel of the anatomy of the chest where the heart resides

Eye Problems (retina)

An eye problem with the retina can occur. If your pet has any vision problems this needs to be checked by a veterinary ophthalmologist.

Dental Disease

Poodles are particularly prone to dental disease. It is important to learn how to brush your pet’s teeth while it is a pup so that you are successful at it when the problem starts to arise later. We have a special kit for this purpose, please have one of our nurses show you the proper technique.

Brushing a dog's teeth

If you start early in life it becomes a fun game to play

We also have a food called t/d (it stands for tartar diet) that is a big help if you cannot brush its teeth. Our Nutrition Page has more information.

Wellness Exams

As your pet gets older yearly exams are needed to identify the accumulation of tartar and treat it before it progresses to more serious complications and we have to remove rotten teeth under anesthesia. As tartar accumulates on the teeth we will perform non-anesthetic dentals (this is not a replacement for brushing) every 6 months and hopefully never have to remove rotten teeth under anesthesia.

Person cleaning dog's teeth with his patient

This dog just had its teeth cleaned with Non Anesthetic Dental

Ear Problems

Poodles are also prone to ear trouble, which can be very painful without your realization. Any sign of head shaking, pawing at the ears, inflamed ears or odor requires veterinary attention. Daily checking for odors or discharge, and proper cleaning when needed, will help prevent this problem.