Introduction
We provide medical care for many rabbits, and our staff is thrilled when they get to hold one

Our staff is very adept at handling rabbits based on the sheer volume of them presented to us as you can see from this Facebook post
In this page you will see detailed pictures and explanations on a rabbit neuter by laser, along with a few more photos of our staff holding rabbits!
Sometimes people get a jaded mindset when it comes to routine surgeries like neuters and spays, that are performed by the thousands, especially at low cost spay and neuter clinics. It is a major surgery, and we treat it as such at the Long Beach Animal Hospital, which you will learn about in this page.
What is Neutering Rabbits?
A neuter, also called a castration or orchiectomy, is removal of both testicles in the scrotum (or in the abdomen if they have not descended).
Why do we Neuter Male Rabbits?
Male rabbits are neutered for a variety of reasons. It helps minimize fighting behavior, urine spraying, mounting, makes it impossible to impregnate females, and prevents testicular cancer. Some rabbits get their testicles traumatized from fighting, and if it is not removed it can become necrotic and painful. Neutered male rabbits also tend to use the litter box more effectively, and in general are calmer pets overall.

The reason this male rabbit has one testicle substantially larger than the other is due to cancer. Removal of this testicle is needed for treatment. If this pet had been neutered at a young age this problem would not have occurred.

This rabbit has a severely infected testicle. The normal testicle is the pink object on the right. This is painful, and needs to be removed surgically. You will see this surgery at the end of this page.
When Should I have my Rabbit Neutered?
We like to perform the neuter surgery when your rabbit is around 6 months of age. The timetable is variable, were are just trying to balance anesthetic risk with the need for the procedure. We also like them to be at a certain growth stage for their bones. Also, the younger they are the less the anesthetic risk and the faster they heal.
Laser Neutering Surgery At Long Beach Animal Hospital
At the Long Beach Animal Hospital we use the laser for neuters. Our rabbit patients appreciate the fact that after surgery there is negligible pain, swelling, and inflammation.
This laser pain control, in addition to the pain injection we give before the rabbit wakes up, and the pain medication we send home, makes for a smooth and rapid recovery.
The laser is calibrated specifically for each surgery and patient
We have extensive experience using the laser over several decades, and commonly teach other doctors how to use it. In this picture Dr. Palazzolo is teaching one of our externs. If you follow our Facebook page you will see the externs post a Daily Diary of what they learned for the day while they are training with us.
Here is an example of one of those posts from Lauren Ellis on her experience with rabbits
Another “Daily Diary” FB post from a student at the U. C. Davis veterinary school
Surgery Day Protocol
On the day of surgery we need your bunny in the hospital between 7:30 AM and 8 AM. We do not recommend fasting, give your bunny anything to eat or drink the morning of surgery. Our veterinary surgeon will call you after the surgery is complete and your bunny is awake. It can go home in the late afternoon the day of surgery unless instructed otherwise. Please call our office at 4 PM for pickup time, you will be given written post operative instructions then. We are open in the evening if you need to pick up later.
We do lots of rabbit surgeries some days. On this day we had 4 of them dropped off for their special day. Dr. Seto was keep busy that morning examining them and getting them ready for anesthesia and surgery.
Pre-Anesthetic Preparation
Five to seven days prior to any surgery please bring in your pet for a preanesthetic exam and blood panel to confirm your pet is ready for anesthesia. At that time one of our doctors will go over any questions you have.
Physical Exam
During this exam we pay special attention to the heart and lungs since they are important for the anesthesia
We sometimes find problems during this exam like these molars with overgrown points. We will file down these points while our patient is under anesthesia for the neuter. We have a page on Rabbit Teeth Conditions that you should be aware of.
Blood Panel
A normal blood panel on a 6 month old rabbit
Radiology
It never hurts to be thorough during this pre-anesthetic exam and take a radiograph (X-ray). The following 3 radiographs, on rabbits that were seemingly normal, show why.
This one has a problem with calcium sludge in the urinary bladder. Our Calciuria page has more details.
This one has a solitary urinary bladder stone in the top right of the radiograph.
This one has a wee bit more than one stone in its urinary bladder! Click here to learn more about bladder stones in other species.
Anesthetic Monitoring
Rabbits need to be monitored carefully during anesthesia. Because of this we constantly monitor their temperature during and after the surgery.
We use digital thermometers for their accuracy and speed
We keep a close tab on important physiologic parameters for all of our surgeries. Monitors like this give us an early warning of an impending problem.
Our anesthetist keeping a watchful eye on the monitor during the procedure
We like to monitor the blood pressure and heart rate during surgery of our patients
We also like to keep track of the oxygen saturation with the pulse oximeter
Even with all of this high tech equipment we stay hands-on when monitoring anesthesia
Surgery Day Examination
On the day of surgery we perform a pre-surgical exam prior to starting the procedure. Our surgeon will call you after this exam to confirm your rabbit passed the exam, and to go over any last minute questions you have
Surgical Preparation
If the surgery day physical exam is normal we will perform the surgery. This is a sterile surgery, and our surgeon starts the pre-surgical process by using special soap to clean his hands.
He washes his hands several times with the surgical soap and brush before putting on sterile gloves
While our patient is being anesthetized our surgeon is already in our surgical suite setting up instruments. Our surgeon is ready to start before our patient is at a proper plane of anesthesia. Once the anesthetist gives the green light the surgery starts immediately. We want our surgeon waiting for his patient, not the other way around. All of this is to minimize anesthetic time.
After scrubbing, gowning, and gloving, our surgeon opens up the surgical pack
He then confirms the instruments are sterile with a sterilometer. This is an indicator strip inside the surgery pack confirming the instruments have been sterilized properly.
While our patient is being anesthetized our surgeon prepares the instruments
Dr. Ridgeway sorting instruments while waiting for his patient to come in to surgery
Anesthesia
Before any of our rabbit patients are anesthetized we give them plenty of TLC to minimize stress
Anesthetic monitoring is important is such a small animal, and especially in rabbits that have such a small lung capacity compared to other animals of comparable size.
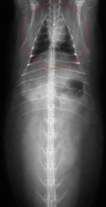
The heart and lungs (within the red circle) are tiny compared to the size of the abdomen. This ratio between lungs and abdomen is much smaller than in other animals, and needs to be closely watched during anesthesia.
When the rabbit’s pre-anesthetic blood panel and physical exam are completed, it is anesthetized and brought into surgery.
We use a special gas anesthetic that is gentle and safe. This is the induction chamber that is filled with 100% oxygen prior to administering any anesthesia. We do this to make the anesthetic safer.
Our surgical patients are kept warm with a circulation warm water blanket and additional warm fluids
We also use a hot air blanket to keep our patients warm when needed
Detailed records are kept of the anesthesia and surgery
Surgery
One last check of our patient in the surgery suite before our surgeon drapes the rabbit and starts the surgery

When our surgeon puts on the sterile drape the surgery is ready to commence

We use the laser for all or our neuters. It has significant advatanges over the scalpel blade. In this picture our doctor is just starting the laser incision. Notice the lack of bleeding.

With the laser there is no bleeding and much less post-operative pain and swelling. You can see the testicle appearing on the left where the scrotum has been incised by the laser.

The testicle has been brought out of the scrotal incision and is ready to be removed. This is a closed castration, because we have left the tissue covering the testicle, called the tunic, intact. Further down this page you will see an open castration.

Our surgeon has already put the first suture on the testicle, and is now ligating with an additional suture. We do this double suture on all of our neuters for safety reasons.

We use the laser again to cut the testicle away from the body. Throughout this whole procedure there has been no blood.

When we have removed both testicles we seal the scrotum with tissue glue. This is much more comfortable than sutures for such a thin scrotum
Surgery When There is Pathology of the Testicle

Remember this picture with the enlarged and cancerous testicle at the beginning of this page?





Our surgeon is carefully removing the badly infected scrotum and testicle by touching the sterile gauze only and not contaminating his glove

A comparison of the two show how severe the infection was
Post Surgery Care
Before our patient wakes up it is given a pain injection and give companion laser therapy.
Rabbits tend to be chewers, so it is common for us to put on an E-Collar (aka the cone of shame) as soon as they wake up

All of our bun bun neuters get a treatment with our cold laser to reduce swelling and pain after surgery. This one deserves it!

The best part of the cold laser treatment is the opportunity it gives you to wear these cool glasses for everyone in the room
We use warm towels to keep our patients cozy warm after surgery
We monitor them closely until they are awake and eating
When your pet goes home we will give you a discharge sheet of instructions. Our staff can assist you in the giving pain medication if need be, and you are always welcome to come back the night of surgery to help us give medication if you are unable.
Our staff is always happy to show you how to give medication
The surgical laser and cold laser allow us to do this surgery with our patients comfort in mind. It is so much better than using a scalpel blade.








































