Common green iguana’s frequently have a problem laying their eggs. Most of these problems are the result of poor husbandry. If the problem cannot be rectified medically then the eggs are surgically removed because they can become toxic. This page will show you how we do an Iguana Spay.
You can learn more about our standard of care of sick reptiles from the Association of Reptile and Amphibian Veterinarians.
Cause
As in almost all diseases we encounter there are many causes. In many cases it is environmental factors that are creating an inability for a female iguana to lay her eggs. Some of these causes are:
- Environmental temperature below 90 degrees F
- Humidity below 90%
- Lack of exposure to direct sunshine
- Housing that is too small or overcrowding
- Loud noises and excess activity in the immediate surroundings
- Inadequate substrate to lay eggs in
- Inadequate diet
These factors closely correlate to the causes of iguana bone disease. Click here if you would like to learn about them in detail before continuing on with this page.

This is an example of the type of substrate (dirt) that can be used for an egg laying iguana
Medical problems can also be involved. Some eggs are deformed while others are too large to pass through the pelvis. Iguana’s that have previously been afflicted with bone disease might have deformed skeletons or inadequate strength to lay eggs
The pelvis on this iguana is too deformed for eggs to pass. This pet has a severe form of iguana bone disease called NSHP.
Some iggie’s have infections that cause problems with egg laying, and even on occasion a stone in the bladder (called urolithiasis) can prevent eggs from passing through the pelvis.
Symptoms
For most owners the primary symptom is a pet that has stopped eating and has also become lethargic. A lack of appetite in an otherwise normal iguana with eggs can be normal. Many of these females will have distended abdomens, a strong clue as to the cause of their lack of appetite. Sometimes the female has layed a few eggs and then stopped. These eggs might be normal in shape and size, or they might have deformities or calcium deficiencies.
The egg on the lower left is malformed, and could be an indication of a problem. The substrate in this case is vermiculite.
Diagnosis
An egg bound iguana usually has a distended abdomen (technically the coelomic cavity). Depending on the number of eggs and their level of calcification these eggs can actually be felt when the abdomen is palpated. Radiography is used commonly to verify the diagnosis.
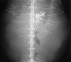
Can you visualize the numerous round and subtle swellings in the coelomic cavity (reptile equivalent of the abdomen) of this female iguana?
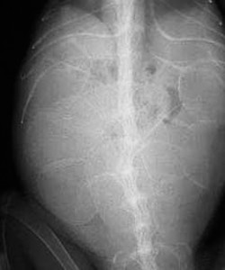
The numerous eggs in this female are a little easier to visualize
Our digital radiography machine gives us substantially better radiographs than the two above. Even though there are other factors like the amount of calcium on the eggs, and whether they are pre or post ovulatory, the difference between the old way and new way of taking radiographs is significant.
This side view is called a lateral view. The R market means this iggie was laying on her right side
This view from the top is called a dorso-ventral view. The R marker denotes the right side of this iggie.

Have you ever taken a radiograph on a reptile? If not, check with Terri first, she is the best at it.
Treatment
Once husbandry problems are corrected medical therapy is usually the first course of action in an otherwise healthy iguana. Calcium injections and supplements, vitamin a injections, and even medications to contract the uterus are used.
If medical therapy is unsuccessful after 3-4 weeks, then surgical intervention is necessary.
These eggs can cause an iguana to become ill, and since few pet iguana’s are used for breeding, along with the fact that we don’t want this problem to repeat itself next year, the iguana is spayed (OVH). Technically this is called an ovariosalpingectomy in an iguana. Let’s look at a case where this occurred.
Pre-surgical Preparation
Pre-anesthetic preparation is important in every surgery we perform, no matter how routine. All of our spays receive a physical exam prior to surgery. After this exam will we draw a small amount of blood for an in-hospital pre-anesthetic test.
This CBC (Complete Blood Count) shows a mildly elevated WBC (White Blood Cell) count. This is expected in an iggie filled with eggs, and it will not postpone the surgery.
This is a sterile abdominal surgery, and our surgeon starts the pre-surgical process by using special soap to clean his hands
While our patient is being anesthetized our surgeon is already in our surgical suite setting up instruments. Our surgeon is ready to start before our patient is at a proper plane of anesthesia. Once the anesthetist gives the green light the surgery starts immediately. We want our surgeon waiting for his patient, not the other way around. All of this is to minimize anesthetic time.
Anesthesia
When everything is to our satisfaction we will administer a sedative. This will calm the pet down and make the administration of the actual anesthetic, along with post operative recovery, much smoother. Once a pet is anesthetized, prepared for surgery, and had its monitoring equipment hooked up and reading accurately, the surgery can begin.
We keep a close tab on important physiologic parameters for all of our surgeries. Monitors like this give us an early warning of an impending problem.
This machine monitors:
Temperature
Heart Rate
Heart rhythm
Oxygen saturation
Carbon dioxide level
Respiratory rate
In addition to our monitoring equipment our anesthetist stays “hands on” in monitoring important physiologic parameters
Surgery
The following area contains graphic pictures of an actual surgical procedure performed at the Long Beach Animal Hospital.
You can click on the pictures to see a larger version for better for visualization.
Zeke has had a distended abdomen and has laid only a few eggs. She is now becoming listless so it’s time for us to intervene.
This is Zeke with her worried mom
Do you see the eggs in this radiograph of Zeke? Click on the picture for a larger version to help you visualize them. As it turns out there are 30 eggs in Zeke’s abdomen (the abdomen of an iguana is called the coelomic cavity).
Once Zeke was cleared for surgery with a blood panel it was time to get those eggs out. After giving her an injection of a tranquilizer called Telazol we administered gas anesthesia (lets hope she does not hold her breath for too long)!
When she has relaxed enough a special tube (called an endotracheal tube) is very gently placed in the windpipe (trachea). This opening is at the back of the tongue, and can be difficult to visualize due to the fleshy tongue. This tube allows us to inflate the lungs and supply adequate amounts of oxygen and anesthetic.
Gently placing the tube in the opening in the glottis that leads to the trachea
All of our surgeries are performed under sterile conditions. The skin is cleansed numerous times with a special antiseptic agent. The area is covered with a sterile drape and the surgeon uses sterile equipment for the duration of the procedure.
Zeke is anesthetized, scrubbed and is ready to be draped. You can see how relaxed she is under anesthesia.
The incision is made with a scalpel blade then extended with scissors
There is an important vein running under the skin that we don’t want to cut. You can see it running horizontally just under the skin and below the hemostats. The two white structures (the left one looks larger than the right one) below the vein is one of the 30 eggs we will be removing.
Once the incision is big enough we gently start exteriorizing the eggs (follicles) in the oviducts
The first group of follicles above is just the beginning as we continue to exteriorize them out of the coelomic cavity. Its hard to believe that many eggs can fit in one iguana!
The blood supply to these follicles must be ligated before we can remove them. This removal of these eggs is the salpingectomy part of this whole surgery called an ovariosalpingectomy. In a dog or cat it is called an ovariohysterectomy (more commonly known as a spay).
You can see how extensive the blood supply is along with how delicate these follicles are within the oviduct.
This part of the procedure takes a while because we carefully, gently, and methodically ligate all of the vessels to all of these eggs in the oviduct. When finished ligating we cut them out and check for any bleeding from these blood vessels.
In this picture (enlarge it if necessary) our surgeon is cutting one of the ligated blood vessels on the right with a scalpel blade. The remaining end that is now ligated with 2 knots will fall back into the coelomic cavity which is at the bottom of the picture. The eggs (follicles) in their oviducts are at the top of the picture and will now be discarded.
The right group of blood vessels has now been cut and our surgeon is getting ready to cut the group of blood vessels on the left. You can see the right group of blood vessels on the right with their two ligatures. We do not let these ligated blood vessels go back into the coelomic cavity until we are certain there is no bleeding.
Now that the eggs and oviducts are removed (salpingectomy) its time to remove the ovaries (the ovario part of our surgery).
This picture shows the left ovary, the nodular horizontal structure in the middle of the picture. The horizontal pinkish structure above it is the shell gland, the equivalent to the uterus in mammals. The vertical pinkish structure to the left of the ovary is the spleen. The white structure just to the left of the spleen is the stomach.
The ovary is pulled up for better visualization. It is attached to a large blood supply which is the horizontal bluish structure below it. This part of the surgery is very delicate due to this blood supply that is almost attached to the ovary. If we cut or nick it while removing the ovary there will be extensive bleeding.
We use a special instrument that puts on metallic clips (called hemoclips- hemo is short for hemostasis, which is latin for controlling bleeding). This is much easier than trying to ligate the ovaries with sutures and potentially cutting into the attached blood supply.
In this picture 3 hemoclips have been utilized. You can see the cut part of the ovary between our surgeon’s fingers.
Our surgeon has let go of the cut end of the ovary and it is laying back on the first 3 hemoclips. He has put on a hemoclip on the left side of this picture as he works his way towards the middle.
His 2nd hemoclip on the left has been placed as he starts cutting the ovary on the left
The final result when all hemoclips are in place and the ovary is removed. Now it’s on to the other ovary for the same thing.
The clips will remain in the coelomic cavity of this pet for the rest of her life. They can easily be seen on an x-ray because they are metallic.
Once our surgeon has confirmed there is no bleeding he sutures the scales back together. We use a special suture pattern called horizontal mattress to make sure the skin edges are everted. You can see the start of the suturing as our surgeon works from left to right.
As he continues along he takes care not to put his needle through that large abdominal (sometimes called central) vein you saw at the beginning of the surgery.
When complete the skin edges are sticking up (everted). We do this suture pattern only in reptiles because the skin edges will fold in (and won’t heal properly) if we suture the same way as in mammals. Once the sutures are out in two- four weeks and this iggie sheds. the scales will be flat again and you won’t be able to tell if there was an incision there.
When the surgery is complete and her pain injection is given one of our staff stays with her to keep her warm and administer oxygen until she is fully awake.
Final count is 30 eggs. What is even more amazing is the fact she layed 18 eggs at home before surgery!
For kicks this is what the eggs have inside of them
As a fun comparison, we have pages on:




































