VNA (Veterinary Neuronal Adjustment)
We have been using VNA (also called VOM- Veterinary Orthopedic Manipulation) to treat a wide variety of diseases in dogs, cats, and several other species since 1995. It has helped many pets, especially older and arthritic ones, lead a high quality life in the face of debilitating disease.
You can learn much more about VNA and its founder Bill Inman by following this VOM link.
The goal of VNA is to treat the Vertebral Subluxation Complex (VSC). This is a functional defect of a joint which causes neurologic signs, or pain, that might not show up on an X-ray. The effects of VSC can include mobility problems, muscle spasm, neurologic defects and inflammation.
Disease related to the spinal cord has traditionally been treated with a combination of surgery and medication. Through the use of VNA, we now have another treatment modality to treat the spinal cord, thus helping all the organs in the body. VNA is a noninvasive and non-painful way to dramatically minimize the effects of spinal cord dysfunction.
In most cases the improvement is so significant that we can diminish the use of medications, sometimes even stopping them altogether. This page will give you a detailed explanation of the use of Veterinary Neuronal Adjustment (VNA) at the Long Beach Animal Hospital.
This treatment method is also called VOM (Veterinary Orthopedic Manipulation).
We do VNA in more than just our canine and feline friends. We have done it on egg bound birds, rabbits, and iguanas.
This rabbit has an arthritic spine causing pain
This Iggie that was not moving his rear legs properly. You can see his testimonial as to how well it worked at the end of this page.
Spinal Cord Anatomy
The spinal cord is an extremely sensitive and complex part of the nervous system. In essence, it is an extension of the brain. Subtle changes in pressure on the spinal cord itself can cause significant changes in the body. The spinal cord is completely enclosed in bone for protection. To allow for movement, and to allow nerve branches to leave the spinal cord, it is flexible and has openings.
This view of a spinal cord model is an end-on view of how the spinal cord fits into the spinal canal. You can see how the spinal cord is enclosed by bone. If it swells it has no place to expand into, resulting in serious damage to the cord. This swelling can occur when VSC is present.
The above picture greatly simplifies the anatomy of this area. In reality, there are many blood vessels, nerves, muscles, and connective tissue all around the spinal cord.
This diagram shows some of the complexity that is not so apparent in the simplified picture above.
The Nerve Roots (NR) above are the same thing as the Dorsal Nerve Root in the picture below. The Spinal Cord (SC) in the picture above is the semicircular area in the top left of the picture below. When a vertebrae becomes subluxated (misaligned) it affects these nerve roots and ganglia. This leads to the disease we call Vertebral Subluxation Complex (VSC).
As the spinal cord moves from the brain down to the tail it sends out nerve branches (called nerve roots- see picture above) that go to various organs. These branches are part of the Autonomic Nervous System (ANS). The ANS is an extremely complex system of nervous connections that runs the length of the spinal cord. Nerves that branch off from these connections innervate all the important organs in the canine and feline body. The ANS performs it magic without your conscious input. Here are a few examples of the many things the ANS does:
- Dilates your eyes when you are scared
- Increases your heart rate when you are scared
- Contracts your stomach and opens your pylorus to allow food to move into the intestines
- Stimulates your pancreas to secrete digestive enzymes into the small intestines as food moves past
- Dilates or constricts blood vessels to the internal organs. This becomes an important point when we treat diseases of internal organs like the kidneys.
In this picture you get a feel for the complexity of the ANS. As the nerve roots leave a vertebral segment they form ganglia that innervate the internal organs. This is how the VSC can affect internal organs.
To use this diagram look at the middle of the thoracic vertebrae on the left. Go to the right until you see the Celiac ganglion. A branch of this ganglion innervate the kidneys. When the vertebrae in the middle of the thoracic area have VSC they kidneys can be affected. When treated with VNA the nerves that supply the kidneys with normal blood flow become dilated. This increases blood flow to the kidneys, and helps them if they are diseased.
When the vertebrae in the picture above are misaligned only slightly there can be significant disruption to the spinal cord and the nerve roots as they leave the spinal cord. Correcting this problem is the goal of VNA.
Vertebral Anatomy
The dog has 31 vertebrae:
- Cervical (neck)- 7
- Thoracic (chest) – 13
- Lumbar (lower back) – 7
- Sacral (pelvis) – 3 (fused)
Let’s go on a tour of this anatomy by looking at overlapping radiographs:
C-1 and C-2 are called the atlas and the axis. The words atlas (holding up the world) and axis (what the world spins on) come from Greek mythology. There can be an instability in this area in large dogs that will cause neurologic problems. The cervical vertebrae are quite flexible, for obvious reasons. VSC can occur in this area.
As the cervical vertebrae become the thoracic vertebrae they go past the shoulder (S). The nerves that come off this cervical-thoracic junction at the shoulder are called the brachial plexus (you cannot see nerves on a plain radiograph). They innervate the front legs on each side. Each of the thoracic vertebrae corresponds to a rib (R) on each side of the chest.
As we continue down the thoracic vertebrae you can visualize how high their dorsal spinal processes are. Also notice how these processes start to get smaller as we get closer to the lumbar vertebrae.
Moving towards the end of the thoracic vertebrae we come to what is termed the thoracolumbar (T-L) junction. It is a very common area to have VSC disease. As we pass into the lumbar vertebrae we have now made our way into the lower back.
The 7 lumbar vertebrae eventually lead into the sacral vertebrae (S). The fused sacral vertebrae are hard to visualize because they are within the pelvis. After the sacrum we are at the tail.
This side view of a spinal cord model shows 2 vertebrae (V) with a normal disk (D) in between. One of the nerve roots (NR) can be seen coming off of the spinal cord (SC). You saw this same picture, from a different angle, at the beginning of this page.
To keep you oriented, this is the same area on a radiograph (at L1-2). The nerve root comes out of the dark structure that looks like a horse’s head. The disk, nerve root, and spinal cord do not show up normally on a radiograph. This is one of the areas on a radiograph we look for VSC, although many times VSC can be present and there are no radiographic changes. If radiographic changes do occur, they can take months to years to become apparent on a radiograph.
VNA Theory
Lets review some of the concepts we illustrated above. alterations in the biomechanical or physiological dynamics of the joints of the vertebral column (called a subluxation because the bones are partially dislocated) cause spinal nerve dysfunction as the nerve roots leave the spinal cord. This is VSC. The dysfunction can lead to mobility problems in the joint, swelling and inflammation in the joint, or spasms of the muscles immediately around the vertebrae. The nerve root that has a dysfunction causes disease in many internal organs that are innervated by a particular nerve root.
The negative forces that caused the dysfunction in the first place are from trauma and environmental toxins. Most pets have had significant trauma to their spinal canal since they were young. It comes in the form of playing with a Frisbee, jumping off or onto something, general play, and excessive running. For some pets, going down stairs might be the biggest predisposing factor to subluxation. We recommend harnesses for most dogs since collars put extra strain on the neck and might predispose to VSC.
In many cases, the changes in the vertebral column that surround the area of nerve dysfunction do not show any changes, and thus are normal on a radiograph. When radiographic changes of this nerve dysfunction are present, they occur long after the problem originated. In some cases the nerve dysfunction from the subluxation can be low-grade or intermittent, taking years to show up on a radiograph.
In VNA we counteract nerve dysfunction by “re-setting” the joint with a gentle and painless force. We are counteracting all of the negative forces that have built up on the spinal canal and its nerve roots over a period of time. The nerves in the area can begin acting normally again, which increases blood flow to internal organs, correcting many diseases. Some of the diseases that are responsive to VNA therapy include:
- Kidney Disease
- Liver Disease
- Inflammatory Bowel Disease (IBD)
- Incontinence
- Arthritis
- Recurring Ear Infections
- Feline Urinary Disease (FLUTD)
- Feline Hyperthyroidism
- Hypertension (High Blood Pressure)
- Allergies
- Hip Dysplasia
- Canine Wobblers (Cervical Instability)
- Disk Disease
- Fecal and Urinary Incontinence
- Brachial Plexus avulsion
- Degenerative Myelopathy
- Megaesophagus
- Lick Granulomas
- Feline Hyperesthesia Syndrome (skin-spinal reflex phenomenon)
- “Wry-Neck” or anterior cervical disease
- Lumbo-sacral subluxation complex
- The Caudal Cervical Syndrome
VNA excels at treating Feline Hyperesthesia. In this disease cats are extremely sensitive on their skin to stimulation, especially the rear quarters. Most cats will lick obsessively when scratched here, others are so sensitive they will go into a seizure.
This cat has a moderate form of hyperesthesia. Click on his picture to see a video of how sensitive he is.
Click on his picture below and watch how we treat him. Notice how relaxed he becomes when he lays down as the treatment starts. Also watch how he starts licking as the vetrostim moves down his back
The nature of this technique allows us to detect disease states before clinical symptoms appear, allowing us to initiate treatment before your pet exhibits clinical signs of disease. This means that we now have at our disposal a tool to determine if your pet is starting to get a disease before the disease becomes well entrenched. This approach is far superior to allowing a disease to become entrenched, and thus is not as easily treated. When treated at this early stage the disease process can be minimized, and sometimes even eliminated. In a sense, VNA is a form of preventive medicine.
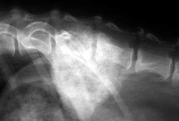
The arrow on the radiograph below points to vertebral changes that occur secondary to nerve dysfunction. It is something we seen in dogs with spinal arthritis called spondylosis along with a problem with the disks called IVD (Intervertebral Disk Disease).
In this radiograph the body is trying to stabilize a subluxated vertebrae by laying down extra bone. Unfortunately, these changes on the radiograph become apparent many months to years after the initial incident that caused the nerve dysfunction. With VNA we now have a diagnostic and treatment capability to prevent these severe boney changes from establishing themselves.
This problem at L3-4 is in mid-back
Equipment
Activator (spinal accelerometer)
This devices fires a very fast and concise force to the subluxated vertebrae. It takes at most 4 milliseconds to administer this force. The fast speed of the accelerometer, combined with its small mass, allows us to administer a concise force only to the problem area. Since there is no pain involved, anesthesia is not needed.
This is the manual activator
In most pets we use an electric powered activator because it is much faster, easier on the hands, and has adjustable power settings.
Technique
The activator and Vetrostim put gentle but very fast mechanical energy to the problem area. This energy is delivered to the dorsal and lateral processes of the vertebrae.
We put the activator directly over the dorsal vertebral process that we locate by palpation. There is a significant amount of muscle and tendon (and sometimes fat in obese pets!) surrounding the dorsal vertebral process. On heavy coated pets there is even more to go through to transmit the energy directly to the process.
This gives you an idea of the relative position of the activator during treatment
The instrument we use to stimulate the muscles and ganglia along the vertebrae is called the VetroStim. Most pets love it because it feels like a massage!
This close-up shows how we position it over the muscle, and not the dorsal process of the vertebrae
You can see the relative position of the VetroStim when positioned to stimulate muscle around the ganglia
Diagnosis
The first thing we do is try to determine where in the spinal canal nerve dysfunction is occurring. There are several ways to make this determination.
Diagnostic Tests
Every pet that is presented for a problem should have routine tests performed after its examination. These tests usually include a blood panel with thyroid test, a urinalysis, a fecal sample for internal parasites, and radiographs of the spine. You already saw example of the benefits of taking an X-Ray for a diagnosis of spine disease. You can learn much more about these tests by going to our Diagnostic Tests page.
Not every pet with a disease has a vertebral subluxation causing nerve dysfunction. There can be foreign bodies, infections, and even tumors causing problems.
The white area on this radiograph is a tumor (cancer), verifying the importance of taking a radiograph before initiating treatment. This tumor is not treated with VNA.
Physical Exam
There are several reflexes to help us pinpoint areas of subluxation causing nerve dysfunction. The main ones are:
- Panniculus
- Ear and Face Reflexes
- Postural Reflexes
Panniculus
Animals have a muscle under the skin (the cutaneous trunci muscle) that allows them to flinch their skin, unlike humanoids. This is a great advantage to them when they want to rid their hair coat of pesky insects, but have no hands to scratch with. When the dorsal or lateral process of the bones of the vertebrae from T-3 to L-6 have a dysfunction, the skin in the lower to mid back will flinch, indicating a problem.
Sometimes the problem is so apparent that just pushing gently on the spine in this area will cause the skin to flinch. In many cases though, we need to gently stimulate the area with the activator to elicit this response.
To initiate this response we place the activator over the dorsal spinous processes of the vertebrae and look for the response as we set off the activator. We start at the vertebrae of the neck and work all the way back to the pelvic bones, noting areas where there is muscle or skin movement. This movement is also called a “read”. A positive read indicates an area of subluxation. These reads will change when we actually treat the area, which is an indication that we are affecting a cure.
Medications, particularly anti-arthritic medications will make it difficult to interpret reads. If your pet can be taken off these medications without any serious effects it will help make the reads more accurate.
Ear and Facial Reflexes
In the C-2 to T-10 area there is a reflex in animals that shows up as an ear twitch. Sometimes a pet will look like it has this reflex when it is really only reacting to the slight clicking sound of the activator.
Postural Reflexes
When an animal stands it maintains tone to the extensor muscles of the legs. A spinal segment that has a problem will temporarily shut down the signal to these extensor muscles when stimulated, causing a momentary change in posture. This change can be very subtle, and might range from a yawn to a twitch, stumble, collapse, or sign of pain. Sometimes the only indication of this response is a subtle change in posture that is felt by the person holding the pet.
Once we have determined if there is a subluxation, and where it is most likely to be by analyzing our diagnostic tests and checking for reflexes, we initiate treatment. The activator is also used to treat, making the same pass as the initial one where we determined likely areas of subluxation. We pass the activator at least 2 times in most cases, and look for changes in the reads.
One of the effects of the vertebral subluxation is muscle spasms in the muscles along the back. If we stimulate this area we can relieve the muscle spasm, causing a return to normal posture and relief of pain and discomfort. Stimulating the muscles over the vertebrae also stimulates nerve centers (called ganglia-remember the pictures above?) that reside along the vertebrae.
Pets that have internal problems like urinary incontinence and inflammatory bowel disease are treated at their Somato-Visceral points.
These areas are located near the angle of the jaw on either side
Client Testimonials
Several of our clients were so satisfied with their pets outcomes that they starred in a little movie……
This is the testimonial from that Iggie at the very beginning of the page. Note how relaxed and calm he is. His eyes are his testimonial!
We have even used it in an egg bound bird to help pass a stuck egg.
Complications
VNA does not work well if your pet has underlying problems. They need to be corrected to get the full advantage of VNA treatment. Three common problems that need correcting are:
- Poor Nutrition- your pet needs to be on a food certified by the Association of American Feed Control Officials (AAFCO).
- Hypothyroidism can interfere with treatment. If your dog has this problem it needs to be supplemented with thyroid hormone. In many cases treating this problem with VNA can affect a cure down the road.
- Hyperthyroidism also poses a problem, and needs to be treated if present. VNA therapy might also affect a cure for this problem.
Treatment Timetable
In most pets we treat at day 1, day 3, day 7, then twice per week, and then every 1-4 weeks depending on response. At that point we treat monthly or every other month indefinitely.
For the typical dog it takes a total of 5-6 adjustments to make a cure, for the cat it takes 4-5. Some pets respond well initially, and seem to be symptom free after only several treatments. These pets are not cured yet, and should be treated until there are no more reads.
Our goal is to affect a cure, and then treat only once every 2-3 months to maintain the cure. The Feline Hyperesthesia Syndrome can take longer to cure in some cases.
Every pet is an individual, so your exact treatment timetable might be modified by one of our doctors as treatment progresses. It is important not to let your pet jump into the car or from the front seat to back seat on the way home from our office. This can cause an adjustment to fall out of place.
WE'RE HERE WHEN YOU NEED US. 562-434-9966
OFFICE HOURS
Monday - Friday 7:30AM - 10:00PM
Saturday 8:00AM - 10:00PM
Sunday 10:00AM - 10:00PM
WILDLIFE PHOTOGRAPHY
Learn how we care for wildlife and how
Dr. P teaches wildlife photography
around the world.
WELCOME TO OUR FAMILY
LBAH COMMUNITY
Meet some of the clients that have brought their pets to us recently.






























































